Upcoming System Maintenance

Notice: Promega will be performing essential system updates January 21–25.

Order processing and shipping will pause starting January 21 at 4:00 PM CST and resume on January 26.
Please plan to order in advance for any products needed during this timeframe.

Please contact Customer Service with any questions.

M-MLV Reverse Transcriptase, RNase H Minus, Point Mutant

Part Numbers: M3681, M3682, M3683

M3683_M-MLV-RT-RNase--H---Point-Mutant--50000u_3
customize-this-small

High Yields of cDNA from Long RNA Templates (>5kb)

Size

Catalog number selected: M3681

Your price:
Add to Cart
This product is discontinued
This product is available under our Early Access program - Learn More
This product is available under our Catalog (FT) program - Learn More
M-MLV Reverse Transcriptase, RNase H Minus, Point Mutant
2,500u
Your price: Log in
Change Configuration

Obtain Higher Yields of cDNA than with the Deletion Mutant

Moloney Murine Leukemia Virus Reverse Transcriptase, RNase H Minus (M-MLV RT [H–]), Point Mutant, is an RNA-dependent DNA polymerase that can be used in cDNA synthesis with long RNA templates (>5kb). The lack of RNase H activity is beneficial for this application, as RNase H can start to degrade templates when incubation times are long, as they may be when synthesizing long cDNAs. Although many researchers are successful in using M-MLV RT (H+) for analytical and some preparative cDNA applications, reverse transcriptases lacking RNase H activity provide another option to prepare long cDNAs and libraries containing a high percentage of full-length cDNA.

Advantages

  • RNase H Minus: Provides optimal conditions to prepare full-length cDNA from long RNA templates.
  • Temperature Stability: Thermostability of this point mutant minimizes problems associated with secondary structure.
  • Increased Polymerase Activity: M-MLV RT (H–), Point Mutant, gives higher yields of cDNA compared with the deletion mutant (Cat.# M5301).
  • Provided with 5X Reaction Buffer: 250mM Tris-HCl (pH 8.3 at 25°C), 375mM KCl, 15mM MgCl2, 50mM DTT.
  • Broad Working Range: More tolerance to variations in enzyme and substrate concentrations means improved consistency in performance.

Applications

  • First-strand cDNA synthesis.
  • Primer extension.
11143TA

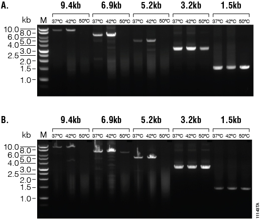
Thermal stability and synthesis of large transcripts. cDNAs were synthesized from 1µg of total human RNA using M-MLV (H–), Point Mutant (Panel A), or SuperScript® II (Panel B) reverse transcriptase at 37, 42 and 50°C. GoTaq® Long PCR amplifications were performed on each transcription reaction using five primer sets, amplifying products from 9.4kb to 1.5kb. Ten microliters of the 9.4, 6.9 and 5.2kb PCR products and 1µl of the 3.2 and 1.5kb PCR products were separated on a 1% agarose gel. Lane M. BenchTop 1kb DNA Ladder (Cat.# G7541).

Specifications

You are viewing: M3681 Change Configuration

What's in the box?

Item Part # Size

M-MLV RT, RNase (H–), Point Mutant

M368A 1 × 2,500 units

M-MLV RT 5X Buffer

M531A 1 × 1ml

Certificate of Analysis

Search by lot number

Use Restrictions

For Research Use Only. Not for Use in Diagnostic Procedures.

Storage Conditions

BB

Specifications

You are viewing: M3682 Change Configuration

What's in the box?

Item Part # Size

M-MLV RT, RNase (H–), Point Mutant

M368B 1 × 10,000 units

M-MLV RT 5X Buffer

M531A 1 × 1ml

Certificate of Analysis

Search by lot number

Use Restrictions

For Research Use Only. Not for Use in Diagnostic Procedures.

Storage Conditions

BB

Specifications

You are viewing: M3683 Change Configuration

What's in the box?

Item Part # Size

M-MLV RT, RNase (H–), Point Mutant

M368C 1 × 50,000 units

M-MLV RT 5X Buffer

M531A 5 × 1ml

Certificate of Analysis

Search by lot number

Use Restrictions

For Research Use Only. Not for Use in Diagnostic Procedures.

Storage Conditions

BB

Let's find the product that meets your needs.

Talk to a Scientist

scientist-uk-stephen

Stephen

UK